Notizie.it
Direttore: Francesco Condoluci
 , aggiornato alle  
    Menu

    Notizie.it

    Search
      L’Italia che cambia
      • Cronaca
      • Economia & Finanza
      • Politica
      • Sostenibilità & Ambiente
      • Salute
      • Storie d’Impresa
      Il mondo che cambia
      • Esteri
      • Crime & Cybercrime
      • Digital Economy
      • Scienza & Tecnologia
      • Lifestyle
      • TV & Spettacoli
      • Sport
      Home > Flash news > 2025 > Pagina 572

      Flash news(2025)

      • featured 2137338 364x230
        in Salute
        Team italiano scopre nuovo gene coinvolto in malattia Alzheimer
      • featured 2137336 364x220
        in Salute
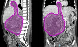
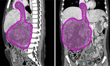
        Eccezionale intervento su bambina, rimosso cancro al rene di 1,5 kg arrivato al cuore
      • default featured image 3 1200x900
        in Flash news
        Palermo: Mattarella, 'da piccolo volevo fare il medico ma mai il calciatore, non ero bravo'
      • default featured image 3 1200x900
        in Flash news
        **Palermo: Mattarella, 'c'è molto di buono in questo paese, questo mi conforta'**
      • default featured image 3 1200x900
        in Flash news
        Palermo: Mattarella ai bimbi, 'mio impegno è faticoso ma interessante, sto a contatto coi cittadini'
      • featured 2137299 364x200
        in Lavoro
        Al via la terza edizione di StrongHer, il programma gratuito di business training di Qonto per supportare l’imprenditoria femminile
      • default featured image 3 1200x900
        in Flash news

        Autonomia: P. De Luca (Pd), 'impediremo ogni tentativo di colpo di mano governo'

        Roma, 20 gen. (Adnkronos) - “La sentenza della Corte Costituzionale ha già sonoramente bocciato l’impianto delle legge Calderoli e la decisione di oggi sulla non ammissibilità del referendum per l'abrogazione dell’autonomia differenziata ne è una chiara co...

        di Foto profilo di Adnkronos Adnkronos 20 Gennaio 2025

      • default featured image 3 1200x900
        in Flash news

        Autonomia: Bonelli-Fratoianni, 'legge già demolita da Consulta, destra si rassegni'

        Roma, 20 gen. (Adnkronos) - “Prendiamo atto della decisione della Corte Costituzionale, che ha dichiarato inammissibile il referendum abrogativo sulla legge per l'Autonomia differenziata. Tuttavia, è importante sottolineare che questa stessa legge era già stata demolita dall...

        di Foto profilo di Adnkronos Adnkronos 20 Gennaio 2025

      • default featured image 3 1200x900
        in Flash news

        Usa: Bonelli, 'Trump pericolo per il mondo e per l’ambiente'

        Roma, 20 gen. (Adnkronos) - “L’uscita degli Stati Uniti, per seconda volta, dagli accordi di Parigi sarebbe una scelta scellerata, che avrebbe conseguenze devastanti. Trump si sente e vuole essere il padrone del mondo, ma la realtà è che è: un nemico del pianeta e de...

        di Foto profilo di Adnkronos Adnkronos 20 Gennaio 2025

      • default featured image 3 1200x900
        in Flash news

        Craxi: ‘L’ultimo vero politico’, a 25 anni dalla morte presentato il libro di Cazzullo

        Milano, 20 gen. (Adnkronos) - Uomo di potere osannato e odiato, capro espiatorio della stagione del malaffare, esiliato illustre per alcuni, latitante per altri. Cos’è stato Bettino Craxi? Se lo chiede a 25 anni dalla morte del leader socialista l’editorialista del Corriere della ...

        di Foto profilo di Adnkronos Adnkronos 20 Gennaio 2025

      • default featured image 3 1200x900
        in Flash news

        Cittadinanza: Della Vedova, 'ammissibilità splendida notizia'

        Roma, 20 gen. (Adnkronos) - “L’ammissibilità, dovuta, del quesito referendario sulla cittadinanza promosso da +Europa è una splendida notizia. Nella crisi demografica che attanaglia l’Italia e ne pregiudica il futuro economico e sociale, l’integrazione di chi sc...

        di Foto profilo di Adnkronos Adnkronos 20 Gennaio 2025

      • default featured image 3 1200x900
        in Flash news

        Autonomia: Sarracino, 'Pd continuerà a valorizzare straordinaria mobilitazione'

        Roma, 20 gen. (Adnkronos) - “L’autonomia differenziata è probabilmente la peggiore legge di questa legislatura ed era nei fatti già stata demolita dalla Corte per vari motivi: dal tema del trasferimento delle funzioni alla definizione dei Lep, fino alla centralità de...

        di Foto profilo di Adnkronos Adnkronos 20 Gennaio 2025

      • default featured image 3 1200x900
        in Flash news

        Consulta: Boschi, 'pronti a battaglia su Jobs Act, vittoria di Pirro governo su autonomia'

        Roma, 20 gen. (Adnkronos) - "La decisione della Corte Costituzionale in merito all’ammissibilità del referendum sul Jobs Act ci trova preparati: abbiamo già iniziato a lavorare per lanciare i comitati in difesa di una legge che ha cambiato in meglio il mercato del lavoro&quo...

        di Foto profilo di Adnkronos Adnkronos 20 Gennaio 2025

      • default featured image 3 1200x900
        in Flash news

        Autonomia: Parrini (Pd), 'legge già demolita da Consulta, restano brandelli inapplicabili'

        Roma, 20 gen. (Adnkronos) - "La Corte Costituzionale non ha ammesso il referendum sulla Legge Calderoli di attuazione dell'autonomia differenziata. Pur non conoscendo ancora le motivazioni di questa decisione, si può ragionevolmente supporre che non lo abbia ammesso per la semplice ...

        di Foto profilo di Adnkronos Adnkronos 20 Gennaio 2025

      • default featured image 3 1200x900
        in Flash news

        Autonomia: Magi, 'con inammissibilità più difficile quorum su altri referendum'

        Roma, 20 gen. (Adnkronos) - "Secondo noi si sarebbe dovuto celebrare anche il referendum sull'autonomia perchè, pur con l'intervento della Consulta sulla legge Calderoli, doveva restare la possibilità per i cittadini di esprimersi su quella legge. Questo apre una questio...

        di Foto profilo di Adnkronos Adnkronos 20 Gennaio 2025

      • default featured image 3 1200x900
        in Flash news

        Autonomia: Ricci (Pd), 'peccato per referendum ma legge già demolita da Consulta'

        Roma, 20 gen. (Adnkronos) - "La Consulta, a novembre, aveva già demolito l’impianto della riforma sull’Autonomia Differenziata, depotenziandola di fatto. Peccato che il referendum abrogativo sia stato dichiarato inammissibile, perché sono certo che gli italiani si sare...

        di Foto profilo di Adnkronos Adnkronos 20 Gennaio 2025

      • default featured image 3 1200x900
        in Flash news

        Cittadinanza: Magi, 'bene ammissibilità referendum, Meloni inviti al voto'

        Roma, 20 gen. (Adnkronos) - "Come promotore del referendum sulla cittadinanza, l'ammissibilità è una grande soddisfazione. Ringraziamo i 645mila cittadini che hanno firmato. Tutte le associazioni e le personalità che hanno dato una spinta per la raccolta delle firme. O...

        di Foto profilo di Adnkronos Adnkronos 20 Gennaio 2025

      • default featured image 3 1200x900
        in Flash news

        Autonomia: Martella (Pd), 'no referendum conferma che legge è morta'

        Roma, 20 gen. (Adnkronos) - “La decisione della Corte Costituzionale di dichiarare inammissibile il referendum abrogativo sulla legge Calderoli non ci sorprende. Come avevamo già sottolineato, questa legge era stata di fatto già svuotata dalla Corte stessa, che ha cancellato ampi...

        di Foto profilo di Adnkronos Adnkronos 20 Gennaio 2025

      • default featured image 3 1200x900
        in Flash news

        Autonomia: Ceccanti, 'quesito poco chiaro, rischio anomalo plebiscito su articolo Carta'

        Roma, 20 gen. (Adnkronos) - "Come, insieme ad altri, mi era capitato di segnalare, il nodo insuperabile per l'ammissibilita' del referendum sull'autonomia come riformulato dalla Cassazione era costituito dalla mancanza di chiarezza del quesito che avrebbe portato a un anomalo ple...

        di Foto profilo di Adnkronos Adnkronos 20 Gennaio 2025

      • default featured image 3 1200x900
        in Flash news

        Autonomia: Alfieri (Pd), 'già demolita da Consulta, continua battaglia in Parlamento'

        Roma, 20 gen. (Adnkronos) - “La decisione della Consulta sulla non ammissibilità del referendum per l’abrogazione della legge Calderoli è la naturale conseguenza della sentenza della stessa Corte che a dicembre 2024 ha di fatto demolito la legge sull’autonomia differe...

        di Foto profilo di Adnkronos Adnkronos 20 Gennaio 2025

      • default featured image 3 1200x900
        in Flash news

        Consulta: ammissibili 5 referendum, tra questi cittadinanza e Jobs act

        Roma, 20 gen. (Adnkronos) - La Corte costituzionale ha deciso oggi in camera di consiglio i giudizi sull’ammissibilità dei 5 referendum tra cui quelli su cittadinanza e Job Act. Ammissibili dunque la "richiesta di referendum abrogativo denominata 'Cittadinanza italiana: Dimezz...

        di Foto profilo di Adnkronos Adnkronos 20 Gennaio 2025

      • default featured image 3 1200x900
        in Flash news

        Consulta: inammissibile referendum su autonomia

        Roma, 20 gen. (Adnkronos) - Inammissibile il referendum sull'autonomia differenziata. E' quanto ha deciso la Consulta. "La Corte costituzionale ha deciso oggi in camera di consiglio il giudizio sull’ammissibilità della richiesta di referendum abrogativo denominata 'L...

        di Foto profilo di Adnkronos Adnkronos 20 Gennaio 2025

      • default featured image 3 1200x900
        in Flash news

        **Consulta: oggetto e quesito su referendum autonomia non risultano chiari'**

        Roma, 20 gen. (Adnkronos) - "La Corte ha rilevato che l’oggetto e la finalità del quesito non risultano chiari. Ciò pregiudica la possibilità di una scelta consapevole da parte dell’elettore". Si legge nella nota dell'ufficio stampa della Consulta in m...

        di Foto profilo di Adnkronos Adnkronos 20 Gennaio 2025

      • default featured image 3 1200x900
        in Flash news

        Usa: Fidanza (Ecr), 'Meloni interlocutrice privilegiata di Trump in Europa'

        Roma, 20 gen (Adnkronos) - "Oggi qui a Washington stiamo vivendo un giorno destinato a cambiare la Storia. Gli americani hanno scelto per la seconda volta Donald J. Trump, che ha vinto contro tutto e tutti e ora dovrà affrontare grandi sfide: dal superamento dell’ideologia woke al ...

        di Foto profilo di Adnkronos Adnkronos 20 Gennaio 2025

      • default featured image 3 1200x900
        in Flash news

        Truffe: investimenti in oro, in inchiesta Gdf 5mila potenziali vittime

        Milano, 20 gen. (Adnkronos) - E' una coppia, una madre e una figlia residenti in provincia di Milano, ad aver denunciato la presunta truffa che ha permesso al Nucleo di polizia valutaria della Guardia di finanza di Milano di eseguire cinque arresti (uno in carcere e quattro domiciliari) con l&#...

        di Foto profilo di Adnkronos Adnkronos 20 Gennaio 2025

      • featured 2137500 265x160
        in Lavoro

        Chi è Riccardo Mazza e come sta rivoluzionando il self-publishing con la giusta formazione

        Roma, 20 gennaio 2025. - Nel panorama dell’imprenditoria digitale italiana, spicca il nome di , un giovane imprenditore di 25 anni che ha trasformato il self-publishing in un modello di business vincente. Grazie alla sua visione innovativa e all’uso di tecnologie avanzate come l’i...

        di Foto profilo di Adnkronos Adnkronos 20 Gennaio 2025

      • default featured image 3 1200x900
        in Flash news

        **Pd: Parisi, 'Milano e Orvieto? Schlein non promuove confronto, è un suo fallimento'**

        Roma, 20 gen. (Adnkronos) - Del gran parlare attorno alle due riunioni del week end, quella di Milano di Comunità democratica e quella a Orvieto di Libertà Eguale, il professor Arturo Parisi trae una considerazione univoca: l'aver dimostrato "ancora una volta che nel Pd &egra...

        di Foto profilo di Adnkronos Adnkronos 20 Gennaio 2025

      • featured 2137481 265x160
        in Salute

        Tumori, Ue estende dostarlimab più chemio in prima linea per carcinoma endometrio

        Roma, 20 gen. (Adnkronos Salute) - La Commissione europea ha approvato dostarlimab in combinazione con la chemioterapia (carboplatino e paclitaxel) per il trattamento di prima linea delle pazienti adulte con carcinoma dell'endometrio primario avanzato o ricorrente, candidate alla terapia sistem...

        di Foto profilo di Adnkronos Adnkronos 20 Gennaio 2025

      • default featured image 3 1200x900
        in Flash news

        Tumori, Ue estende dostarlimab più chemio in prima linea per carcinoma endometrio

        Roma, 20 gen. (Adnkronos Salute) - La Commissione europea ha approvato dostarlimab in combinazione con la chemioterapia (carboplatino e paclitaxel) per il trattamento di prima linea delle pazienti adulte con carcinoma dell'endometrio primario avanzato o ricorrente, candidate alla terapia sistem...

        di Foto profilo di Adnkronos Adnkronos 20 Gennaio 2025

      • default featured image 3 1200x900
        in Flash news

        Paglia contro Maffucci: "Sbaglia, fu Agnes a portare Celentano in Rai"

        (Adnkronos) - La televisione italiana degli anni Ottanta è stata un’epoca di grandi rivoluzioni, sia sul piano culturale che su quello gestionale. Un momento chiave di questa stagione fu il cosiddetto “caso Celentano”, che segnò una svolta per Raiuno. Un episodio torn...

        di Foto profilo di Adnkronos Adnkronos 20 Gennaio 2025

      • default featured image 3 1200x900
        in Lavoro

        Terzo settore: Banco Alimentare, preoccupazione per sospensione attività in Calabria

        Roma, 20 gen. (Labitalia) - La Fondazione Banco Alimentare Ets esprime grande preoccupazione per la situazione in cui si trova il Banco Alimentare della Calabria, che rischia di sospendere la distribuzione di alimenti a causa della mancata disponibilità della sua attuale sede."Dopo anni ...

        di Foto profilo di Adnkronos Adnkronos 20 Gennaio 2025

      • default featured image 3 1200x900
        in Flash news

        Truffe: investimenti in oro e promessa di guadagni del 48% l'anno, 5 arresti

        Milano, 20 gen. (Adnkronos) - E' di cinque arresti (uno in carcere e quattro ai domiciliari) con l'accusa di associazione per delinquere, abusivismo finanziario e truffa il bilancio di un'operazione del Nucleo di polizia valutaria della Guardia di finanza di Milano che ha portato al s...

        di Foto profilo di Adnkronos Adnkronos 20 Gennaio 2025

      • featured 2137460 265x160
        in Salute

        Mo, anestesisti: "Situazione sanitaria nord Gaza è inaccettabile"

        Roma, 20 gen. (Adnkronos Salute) - La Società italiana di anestesia, analgesia, rianimazione e terapia intensiva (Siaarti), da 90 anni impegnata nella salvaguardia delle vite umane in situazioni di emergenza, esprime profonda preoccupazione per la grave crisi sanitaria che sta colpendo il nor...

        di Foto profilo di Adnkronos Adnkronos 20 Gennaio 2025

      • default featured image 3 1200x900
        in Flash news

        Mo, anestesisti: "Situazione sanitaria nord Gaza è inaccettabile"

        Roma, 20 gen. (Adnkronos Salute) - La Società italiana di anestesia, analgesia, rianimazione e terapia intensiva (Siaarti), da 90 anni impegnata nella salvaguardia delle vite umane in situazioni di emergenza, esprime profonda preoccupazione per la grave crisi sanitaria che sta colpendo il nor...

        di Foto profilo di Adnkronos Adnkronos 20 Gennaio 2025

      • default featured image 3 1200x900
        in Flash news

        **Usa: Colavita, non temo dazi su export Italia, ottimi rapporti Meloni-Trump**

        Roma, 20 gen. (Adnkronos) - “Non mi aspetto dazi” dall’amministrazione Trump “sui prodotti italiani”. Lo ha detto all’AdnKronos, Giovanni Colavita, amministratore delegato Colavita Usa, che importa e distribuisce prodotti italiani in Usa, e membro della National I...

        di Foto profilo di Adnkronos Adnkronos 20 Gennaio 2025

      • featured 2137447 265x160
        in Salute

        Scuola, medici igienisti: "In riforma educazione a salute e prevenzione dipendenze"

        Roma, 20 gen. (Adnkronos Salute) - La Società italiana di igiene e medicina preventiva (Siti) auspica che Giuseppe Valditara, ministro dell'Istruzione e del Merito, "non tralasci di inserire nella riforma della scuola programmi di educazione alla salute che si inseriscano nell'...

        di Foto profilo di Adnkronos Adnkronos 20 Gennaio 2025

      • featured 2137439 265x160
        in Salute

        Sanità, fusione Homnya-Sics: nasce nuova Health data marketing & media company

        Roma, 20 gen. (Adnkronos Salute) - Nasce la principale Health data marketing & media company. Homnya e Sics (Società italiana di comunicazione scientifica e sanitaria) annunciano ufficialmente la loro fusione, segnando un passo storico nella trasformazione del panorama del settore delle L...

        di Foto profilo di Adnkronos Adnkronos 20 Gennaio 2025

      • default featured image 3 1200x900
        in Flash news

        Visibilia: gup Milano, 'perdite nascoste per anni' in società Santanché

        Milano, 20 gen. (Adnkronos) - "Il modello organizzativo e di gestione" di Visibilia Editore spa e Visibilia Editrice srl evidenzia "assetti organizzativi, contabili e amministrativi" definiti "inadeguati" che hanno "certamente consentito la commissione" dei re...

        di Foto profilo di Adnkronos Adnkronos 20 Gennaio 2025

      • featured 2137404 265x160
        in Salute

        Eccezionale intervento su bambina, rimosso cancro al rene di 1,5 kg arrivato al cuore

        Roma, 20 gen. (Adnkronos Salute) - Sei cicli di chemioterapia, poi nove ore di intervento ma ora il tumore di circa 1,5 chili di cui era affetta Sara (nome di fantasia), a soli otto anni, è stato rimosso. "Un intervento chirurgico complesso e straordinario", ha spiegato in una nota ...

        di Foto profilo di Adnkronos Adnkronos 20 Gennaio 2025

      • default featured image 3 1200x900
        in Flash news

        Siracusa: anziano grave a Lentini, Questura 'dubbi su rapina, ferite per caduta accidentale'

        Palermo, 20 gen. (Adnkronos) - "Potrebbe non essere una rapina" l’episodio di ieri cui è rimasto vittima un anziano di Lentini, nel Siracusano, tutt’ora ricoverato in ospedale in prognosi riservata. Lo fa sapere la Questura di Siracusa, spiegando che "le attente ric...

        di Foto profilo di Adnkronos Adnkronos 20 Gennaio 2025

      • default featured image 3 1200x900
        in Flash news

        Sanremo 2025, Damiano David sarà il superospite della seconda serata

        (Adnkronos) - Damiano David sarà il super ospite della seconda serata del festival di Sanremo 2025. Ad annunciarlo il conduttore Carlo Conti, in collegamento durante il pre-ascolto dei brani di Sanremo per la stampa. Il frontman dei Maneskin, che ha recentemente rilasciato i singoli 'Bor...

        di Foto profilo di Adnkronos Adnkronos 20 Gennaio 2025

      • default featured image 3 1200x900
        in Flash news

        **Atletica: Mei, 'Doualla grande talento ma va lasciata crescere, ora la scuola è la priorità'**

        Roma, 20 gen. - (Adnkronos) - "Kelly Ann Doualla è un grande talento ma va lasciata crescere in santa pace. Ora deve divertirsi a fare atletica ma come ha detto lei stessa la priorità è la scuola. Riparliamone tra qualche anno". Così all'Adnkronos il presid...

        di Foto profilo di Adnkronos Adnkronos 20 Gennaio 2025

      • featured 2137376 265x160
        in Salute

        Sinner e il tremore delle mani, medico fisiatra: "Colpa di caldo e sforzo intenso, ma è nella norma"

        Roma, 20 gen. (Adnkronos Salute) - Un match duro e faticoso, ma vinto, contro Holger Rune negli ottavi di finale degli Australian Open. Ora Jannik Sinner potrà recuperare le forze in vista dei quarti. Ma l'azzurro, in evidente difficoltà dalla metà del secondo set, deve fer...

        di Foto profilo di Adnkronos Adnkronos 20 Gennaio 2025

      • default featured image 3 1200x900
        in Flash news

        Ue: Pd entra nella rete socialisti europei a sostegno di pmi e autonomi

        Roma, 20 gen. (Adnkronos) - Il Pd entra a far parte della rete dei partiti socialisti europei dedicata al confronto sulle politiche di sostegno alle piccole e medie imprese e dei lavoratori autonomi. Il partito sarà rappresentato da Antonella Vincenti, responsabile nazionale del Pd per le Pmi...

        di Foto profilo di Adnkronos Adnkronos 20 Gennaio 2025

      • featured 2137358 265x160
        in Salute

        Medico fisiatra: "Tremore mani di Sinner per caldo e sforzo intenso"

        Roma, 20 gen. (Adnkronos Salute) - Un match duro e faticoso, ma vinto, contro Holger Rune negli ottavi di finale degli Australian Open. Ora Jannik Sinner potrà recuperare le forze in vista dei quarti. Ma l'azzurro, in evidente difficoltà dalla metà del secondo set, deve fer...

        di Foto profilo di Adnkronos Adnkronos 20 Gennaio 2025

      • featured 2137355 265x160
        in Salute

        Grasso nei muscoli killer silenzioso, più rischi cuore indipendenti dal peso

        Milano, 20 gen. (Adnkronos Salute) - Hanno scelto un nascondiglio insospettabile: sono accumuli di grasso che si stabiliscono fra i muscoli e, anche quando l'ago della bilancia non segna un peso complessivo così in eccesso, agiscono come un 'killer silenzioso', aumentando il ri...

        di Foto profilo di Adnkronos Adnkronos 20 Gennaio 2025

      • default featured image 3 1200x900
        in Flash news

        "Meglio in carcere che sole a casa", la scelta delle donne anziane in Giappone

        Tokyo, 20 gen. (Adnkronos) - Sono sole, spesso in difficoltà economiche. Tanto che sarebbero disposte a pagare per restare in carcere. Perché qui ricevono pasti regolari, assistenza sanitaria gratuita, la compagnia di cui sono prive all'esterno. Succede nel più grande carce...

        di Foto profilo di Adnkronos Adnkronos 20 Gennaio 2025

      • default featured image 3 1200x900
        in Flash news

        Porti, a Civitavecchia avanzano lavori per antemurale diga foranea

        Civitavecchia, 20 gen. - (Adnkronos) - Procedono spediti i lavori di realizzazione del prolungamento dell'antemurale Cristoforo Colombo che vedrà la diga foranea del Porto di Civitavecchia estendersi per ulteriori 400 metri in direzione nord ovest. Sono in corso i lavori di realizzazion...

        di Foto profilo di Adnkronos Adnkronos 20 Gennaio 2025

      • default featured image 3 1200x900
        in Lavoro

        Professioni: Consulenti lavoro-Crui, domani firma intesa su etica, legalità e sicurezza

        Roma, 20 gen. (Labitalia) - Promuovere e diffondere la cultura dell'etica, della legalità e della sicurezza sul lavoro. Domani dalle ore 16 alle 17, nella sala Acquario del ministero dell’Università e della Ricerca, verrà siglato il protocollo d’intesa tra il Co...

        di Foto profilo di Adnkronos Adnkronos 20 Gennaio 2025

      • featured 2137340 265x160
        in Salute

        Onde elettromagnetiche per inattivare virus nell'aria, arriva validazione

        Roma, 20 gen. (Adnkronos Salute) - La tecnologia italiana e4shield, che utilizza le onde elettromagnetiche per inattivare i virus respiratori presenti nell'aria, ha ricevuto la certificazione di efficacia superiore al 90% sui virus dell'influenza stagionale, Covid, inclusa la recente varia...

        di Foto profilo di Adnkronos Adnkronos 20 Gennaio 2025

      « 1 2 … 571 572 573 … 597 598 »
      202020212023202420252026

      Links

      • Contatti
      • Pubblicità
      • Cookie Policy
      • Privacy Policy
      • Note legali
      • Trattamento dati
      • Feed RSS Notizie.it
      • Mappa del sito
      • Lista tag
      • Codici Sconto
      • Gestisci Utiq
      • Preferenze Privacy

      Disclaimer

      Notizie.it è la grande fonte di informazione social. Attualità, televisione, cronaca, sport, gossip, politica e tutte le news sulla tua città. Per segnalare alla redazione eventuali errori nell'uso del materiale riservato, scriveteci a info@adhubmedia.com provvederemo prontamente alla rimozione del materiale lesivo di diritti di terzi.

      Copyright

      Copyright © 2026 | Notizie.it - Edito in Italia da AdHub Media - Sede legale: Via Paolo da Cannobio, 9, 20122 Milano MI - P.IVA 13542920965 Numero REA MI 2729933 - All Rights Reserved.

      Tutti i contenuti sono prodotti in maniera ibrida da una tecnologia proprietaria di Intelligenza Artificiale e da creators indipendenti.

      Notizie.it è una testata registrata presso il Tribunale di Milano n.68 in data 01/03/2018

      Italia
      • Casa Magazine
      • Cineverse Magazine
      • Donne Magazine
      • Food Blog
      • Milano Notizie
      • Motor Magazine
      • Notizie.it
      • Offerte Shopping
      • Pet Story
      • Professione Lavoro
      • Sport Magazine
      • Style24
      • Think.it
      • Tuobenessere
      • Viaggiamo
      • Nonne Magazine
      • Milano Cortina
      • Luxury Club
      • Il Calcio Online
      • Professione mamma
      • World Music
      • Investimenti Magazine
      • Money 365
      • Zona Nerd
      • B2B Magazine
      • People Magazine
      • Day Travel
      • Tutto Gaming
      • ESG 365
      • Food Wiki
      • FuturoDonna
      • HomeMagazine
      • SecondHomeMagazine
      Spagna e America Latina
      • Actualidad
      • Finanzas 24
      • Investindo 365
      • Think.es
      • Viajar 365
      • ES Newz
      • Pet Story
      • Encocina
      Nord America
      • Womanmagazine
      • Investing Plus
      • Newz
      • Gameland
      • Hig Tech Mag
      • Scoop Mag
      • Lgbtqia News
      • Motors Magazine 365
      • Day Travel 365
      • Home Magazine 365
      • Cineverse Magazine
      • SecondHomeMagazine
      Francia
      • InvestirMag
      Germania
      • Investieren24
      UK
      • News Hub UK
      • Lgbtq News
      Olanda
      • Investeren 24
      • NL Newz
      Back to Top
      Close
      L’Italia che cambia
      • Cronaca
      • Economia & Finanza
      • Politica
      • Sostenibilità & Ambiente
      • Salute
      • Storie d’Impresa
      Il mondo che cambia
      • Esteri
      • Crime & Cybercrime
      • Digital Economy
      • Scienza & Tecnologia
      • Lifestyle
      • TV & Spettacoli
      • Sport

      • Home
      • Chi siamo
      • La redazione
      • Ultime Notizie
      • Lavora con noi
      • Segnala una notizia
      • Dizionario di Italiano